Epitheel is een weefseltype dat bestaat uit een of meer lagen regelmatig naast elkaar gerangschikte cellen die met elkaar een aaneengesloten verband vormen. Epitheel behoort tot de vier primaire weefseltypen die in het lichaam voorkomen. De andere zijn: bindweefsel (waaronder ook kraakbeen en been worden gerekend), spierweefsel en zenuw-zintuig-weefsel. Epitheel komt voor als bedekkend weefsel en als klierweefsel.
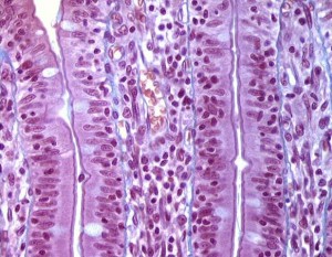
Bedekkend epitheel, ook wel dekweefsel genoemd, kan één cellaag dik zijn. De cellen kunnen in doorsnede plat, vierkant of rond zijn. Eenlagig cilindrisch epitheel komt voor in de darm. Onder meerrijig wordt een weefsel verstaan waarvan alle cellen rusten op een zgn. basaalmembraan, terwijl niet alle cellen het vrije oppervlak bereiken. Een meerrijig cilindrisch epitheel, daarbij nog voorzien van trilharen, bekleedt een deel van de luchtwegen.

plaveisel-cellen welke een meerrijig epitheel bedekken, komt voor in de urineleider en de urineblaas. Klierepitheel komt voor in klieren met en zonder een afvoerbuis. Klieren met een afvoerbuis met uitwendige afscheiding (exocriene klieren) geven hun klierprodukten direct af aan een orgaan, zoals de vele klieren van het maag-darmkanaal. Wanneer de afvoerbuis vertakt is spreekt men van een samengestelde klier, enkelvoudige klieren bezitten een niet-vertakte afvoerbuis. Aan het uiteinde van de afvoerbuis bevindt zich het eigenlijke klierepitheel.
De klieren met inwendige afscheiding (endocriene klieren) bezitten geen afvoerbuis, omdat ze hun produkten afgeven aan de bloedbaan, dwz. aan de vaatjes die door het kiier-weefsel lopen. De meeste van die klieren (bijv. het hersenaanhangsel, de bijschildklier, bijnier en geslachtsorganen) zijn opgebouwd uit een aantal bolletjes of strengen epitheelcellen die door bindweefsel in een groter verband worden samengebracht.





Er zijn nog geen reacties op dit artikel. Geef als eerste een reactie!
Schrijf een reactie