Voortplanting

De overgang was vroeger iets wat je niet snel bespreekbaar maakte. Je ziet inmiddels echter

Ben je na een jaar proberen nog niet zwanger? Dan kan er sprake zijn van

In de vagina zitten bij iedere vrouw altijd bacteriën en schimmels. Er heerst een bepaald

Het krijgen van een stijve penis wordt ook wel een erectie genoemd. Één op de

Een bijzondere vorm van een zwangerschap is de mola-zwangerschap. Deze zwangerschap, ook wel druiventroszwangerschap genoemd

Een bevalling op de natuurlijke manier verloopt niet altijd zoals gewenst. Soms kan het noodzakelijk

Het is een tikkeltje overdreven om te stellen dat de wereld om seks draait, maar

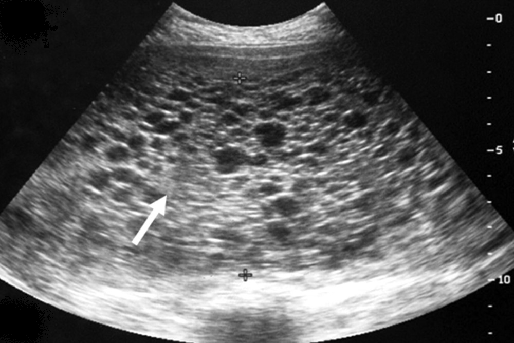
Bij het PolyCysteus Ovarium Syndroom ontstaan in beide eierstokken (ovaria) ronde, dunwandige met vocht gevulde

Vruchtwater is het door het lamsvlies afgescheiden, waterachtige, heldere vloeistof, die de gehele lamsvliesholte opvult








