Een bijzondere vorm van een zwangerschap is de mola-zwangerschap. Deze zwangerschap, ook wel druiventroszwangerschap genoemd (zie onderstaande afbeelding), is een zeldzame vorm van zwangerschap die ontstaat doordat een (doorgaans) niet-levensvatbare embryo zich innestelt in de uterus (baarmoeder) en hier uitgroeit tot een grote massa (mola). Deze massa kan voor problemen zorgen bij de vrouw. Zoals al eerder genoemd is, is de aandoening zeldzaam en komt deze ongeveer bij 1 op 1500 tot 2000 zwangerschappen voor in West-Europa.
Soorten mola-zwangerschappen
Er zijn 2 varianten van deze aandoening:
- Complete mola-zwangerschap
- Incomplete mola-zwangerschap
Bij de complete mola-zwangerschap wordt een eicel zonder erfelijk materiaal bevrucht door één spermacel. De embryo die hieruit ontstaat is niet levensvatbaar. Bij de incomplete mola-zwangerschap wordt één eicel bevrucht door twee spermacellen én ook dit embryo is in de meeste gevallen niet levensvatbaar. Op het eerste gezicht lijkt het een normale zwangerschap te betreffen, en de vrouw voelt zich dan ook ‘gewoon’ zwanger. De placenta (moederkoek) groeit en de omvang van de buik neemt tevens toe. De zwangerschapstest is positief, doordat de placenta het zwangerschapshormoon humaan choriongonadotrofine (HCG) produceert.

Symptomen
Mola-zwangerschappen vertonen meestal pijnloos vaginaal bloedverlies in de vierde tot vijfde maand (16e tot 20e week) van de zwangerschap. Bij lichamelijk onderzoek kan de uterus groter aanvoelen dan verwacht zou worden voor de zwangerschapsduur. Ook kunnen de eierstokken vergroot zijn. Vrouwen met een mola-zwangerschap kunnen ook last hebben van veel en hevig braken (hyperemesis). Soms is er sprake van een hoge bloeddruk. In enkele gevallen worden symptomen van een te snel werkende schildklier gezien (zie hyperthyreoidie) door de hoge HCG concentratie in het bloed.
Diagnose
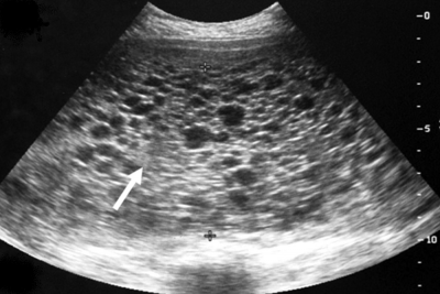
De diagnose mola-zwangerschap wordt gesteld op basis van het door de arts uitgevoerde lichamelijk onderzoek in combinatie met de bevindingen die worden gevonden bij het aanvullend onderzoek. Bij het aanvullend onderzoek wordt onder andere bloedonderzoek gedaan. Hierin worden zeer hoge concentraties van het zwangerschapshormoon HCG gevonden. Verder wordt er een echografie van de uterus gemaakt. De mola-zwangerschap is op het echografiebeeld te herkennen aan het karakteristieke druiventros- of honinggraatbeeld (zie onderstaande afbeelding). De combinatie van een hoge concentratie HCG in het bloed en het karakteristieke echobeeld pleiten sterk voor de diagnose mola-zwangerschap. De definitieve diagnose wordt echter gesteld door weefselonderzoek uit te voeren op het embryonale weefsel, maar dit kan vaak pas nadat de mola-zwangerschap verwijderd is.

Behandeling
In eerste instantie volstaat meestal een zuigcurettage. Curettage is een medische behandeling, waarbij het aangedane oppervlak, in dit geval van de uterus, schoon wordt geschraapt. Bij een zuigcurettage wordt het weefsel, in plaats van schoon schrapen, opgezogen. De uterus wordt dus door middel van curettage gereinigd. Verder wordt de hoeveelheid HCG bepaald tijdens de mola-zwangerschap. Na behandeling middels zuigcurettage wordt lange tijd het HCG bepaald in het bloed van de vrouw. De vrouw is op dit moment dus niet meer zwanger maar het HCG kan voor langere tijd aanwezig blijven in het bloed. Dit wordt bepaald totdat het geheel verdwenen is uit het bloed. Indien het gedurende enkele maanden geheel uit het bloed verdwenen is, wordt ervan uitgegaan dat de mola-zwangerschap verdwenen is en mag een vrouw weer proberen zwanger te worden. In sommige gevallen kan het nodig zijn een jaar te wachten.
Prognose
Meer dan 80% van de molazwangerschappen zijn goedaardig. Het resultaat na de behandeling is meestal uitstekend. Zoals hierboven reeds genoemd is, wordt het HCG in het bloed een aantal maanden bepaald totdat dit niet meer aanwezig is. Tot die tijd wordt daarom ook aanbevolen om niet zwanger te worden en dus voorbehoedsmiddelen te gebruiken ter voorkoming van zwangerschap gedurende ten minste 6 tot 12 maanden. Hierna mag de vrouw, met toestemming van haar behandelend arts, weer zwanger worden. In 10 tot 15% van de gevallen kan een mola-zwangerschap zich ontwikkelen tot een zogenoemde invasieve mola. Hierbij kan de mola zo ver in de baarmoederwand groeien dat die kan zorgen voor een bloeding in de uterus. In 2 tot 3% van de gevallen kan een mola-zwangerschap zich ontwikkelen tot chorioncarcinoom, dat een kwaadaardige, snelgroeiende vorm van kanker is. Het gevaar hierbij is dat de cellen van de mola zich door het lichaam gaan verspreiden en in andere organen kunnen gaan groeien. Gelukkig is deze vorm van kanker doorgaans goed te behandelen met chemotherapie, waarbij de groter meerderheid van de vrouwen geneest.





Er zijn nog geen reacties op dit artikel. Geef als eerste een reactie!
Schrijf een reactie